Skip to main content
Skip to main navigation menu
Skip to site footer
Open Menu
Journal of Current Oncology and Medical Sciences
Home
About
Contact
Editorial Team
For authors
Indexing
All issues
Ahead of print / Accepted Articles
Search
Register
Login
Home
/
Archives
/
Vol. 4 No. 1 (2024): March
Vol. 4 No. 1 (2024): March
Published:
2024-03-31
Full Issue
Download full-text PDF
Articles
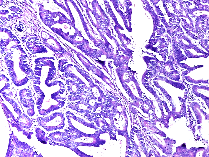
P53 expression in colorectal carcinomas study at a tertiary health care center in South Kerala
Alina Ajoy Thomas, Meeta Thomas, Jessy M.M
706-713
Harnessing the prognostic potential of CT imaging in pediatric lymphoma: an in-depth analysis of disease evaluation and outcomes
Marya Hameed, Saadia Khurshid, Fatima Siddiqui, Muhammad Khuzzaim Khan, Lana Akram Alhouri, Noor Fatima, Sumera Mahar, Kelash Kumar
714-722
Diagnostic value of peritoneal lavage fluid cytology findings of peritoneal invasion in patients with gastric cancer
Moein Moghadam Ahmadi, Fatemeh Nejatifar, Habib Eslami Kenarsari, Saeed Soroush, Amineh Hojati
723-728
Psychometric properties of the Persian version of the pain beliefs and perceptions inventory (PBPI) in individuals with chronic low back pain
Sarvenaz Karimi-GhasemAbad, Behnam Akhbari, Saeed Talebian Moghaddam, Ahmad Saeedi
729-738
A case of mucous gland adenoma of lung: a benign mimicker of malignancy
Veeksha Venugopal Gowda , Divya Vijayanarasimha, Rekha Vijay Kumar , Sanjeev Kulkarni
739-744
The effect of green tea consumption on depression
Mohammad Esmaeilpour-Bandboni, Arefeh Zabeti Touchaei , Peyman Rabiei, Zinat Seyedpour
745-755
Graphical abstract
A histopathological study on breast carcinoma with special reference to cyclin-D1 and estrogen receptor
Payel Hazari , Monoj Kumar Deka, Bandana Kanoo
756-768
Make a Submission
Make a Submission
Information
For Readers
For Authors
For Librarians
Browse
Categories
Original article
Review article
Short communication
Case report
Case series
Letter to the Editor