Bilateral suture granuloma formation one year and a
half after total thyroidectomy referred as tumor recurrence
Ehsan Arjmandzadeh 1, Ali
Bagherihagh 1*
1 Department of
Otorhinolaryngology, Head and Neck Surgery, Baqiyatallah University of Medical
Sciences, Tehran, Iran
*Corresponding Author: Ali Bagherihagh
* Email: ali.bagherihagh@gmail.com
Abstract
Introduction: Stitch abscess or suture granuloma is a rare complication defined as a
benign granulomatous inflammatory lesion with an incidence rate of about 2
percent seen after various kinds of surgical procedures.
Case presentation: Here we present a 49 years old woman that presented with bilateral neck
swelling and pain one year and a half after total thyroidectomy surgery
misdiagnosed as tumor recurrence.
Discussion: Post-thyroidectomy suture reaction causing granulomatous lesions or
abscess formation as seen in our case is even rarer with an incidence rate of
0.08% to 1.5%. Silk suture is the most common non-absorbable suture material
that has been used in vascular ligation. Young adults, liver dysfunction and
allergy history are predisposing factors for stitch abscess.
Conclusion: Development of suture granuloma should be considered when vascular
ligation by silk suture is preferred especially in patients with predisposing
factors.
Keywords: Stitch abscess, Suture granuloma, Silk suture
Introduction
Stitch abscess or more precisely suture granuloma is a rare but
important complication defined as a benign granulomatous inflammatory lesion
that may occur after surgery with an incidence rate of about 2 percent seen
after various kinds of surgical procedures, which is due to an infectious
process and/or an immunological reaction to the sutures (1, 2). Using
non-absorbable sutures, especially silk increases the risk of the phenomenon as
the suture reacts with surrounding connective tissue causing adhesion bonds (3,
4). It is a very difficult challenging situation following tumors surgery
mainly malignant tumors to differentiate between stitch abscess, nodal
metastasis, and tumor recurrence indicating that making the diagnosis is
important (1, 2). Besides the low incidence rate of the phenomenon due to legal
considerations, it is assumed that most of the related subjects are not
reported and the literature is very limited on the topic (5).
Here we present a 49 years old woman that presented with bilateral
neck swelling and pain one year and a half after a total thyroidectomy surgery
which was primarily diagnosed by an endocrinologist based on ultrasonographic
features as a thyroid tissue remnant or recurrence of initial pathology and
referred to us for revision surgery.
Case Presentation
A 49 years old lady was referred to our otolaryngology clinic due
to bilateral neck swelling and pain suspicious for recurrence of the primary
pathology one year and a half after surgery according to an ultrasonography
report. The patient reported that she has experienced progressive slow-growing
neck swelling and pain 5 months after total thyroidectomy due to multinodular
goiter. The pain was aggravated during neck rotation and swallowing and
relieved partially after the onset of thick pus discharge. From 10 months ago
despite antibiotic therapy and while swelling and pain continued to proceed
there was periodic pus discharge and she noticed suture material surrounded by
pus in the last prominent discharge which was about 6 months ago. Her past
medical history revealed a similar history of pus and suture material discharge
from surgical incision line after Cesarean section about 10 years ago and after
that, there were no medical complaints. Ultrasonography showed solid hypoechoic
masses with microcalcification foci without significantly increased vascularity
which were measured 41mm*19mm on the right side and 39mm*18mm on the left side.
She was also referred for a fine needle aspiration study that showed a
solid-cystic lesion with chronic inflammation. On physical examination she was
not febrile, sinus orifice and cervical surgery incision scar were seen on the
anterior neck skin. There was a deep-seated and well-defined slightly tender
mass palpated on each side of the neck located exactly on the anatomical location
of excised thyroid lobes estimated about 3 centimeters in maximum diameter. The
rest of the clinical examination was normal. She was taking calcium tablets
(500 mg daily) and levothyroxine tablets (100 micrograms daily) in the right
order. The laboratory findings were within normal limits and she was euthyroid
(TSH: 3.19). Due to high suspicion of abscess formation aroused by her previous
history of suture reaction and physical examination a computerized tomography
(CT) with contrast injection was done.
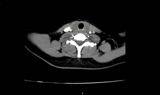
On CT scan bilateral mildly contrast-enhanced soft tissue density
masses were detected at the base of the neck coincident with thyroid anatomical
lobes location (Figures 1 and 2). Because differentiation of foreign body
(suture granuloma) and goiter recurrence could not be established precisely by
imaging techniques and FNA pathology report, she was operated and undergone a
surgical exploration. Superolateraly to the incision line and beneath the
infrahyoid strap muscles two suspicious deep-seated stiff masses (one mass on
each side) were palpated which after incision about 10ml thick whitish pus with
granulation gelatinous tissue in the bed of thyroid and 4 free silk sutures
(Figure 3) were encountered on each side (20ml pus and 8 free silk sutures in total). Finally, the abscess cavities and wound were irrigated copiously
and pulsatile with about 1000ml saline and the wound was closed primarily
(Figure 4).
Postoperatively the patient did well and she was discharged after 3
days of admission. She has been followed up in clinic and after 12 months has
remained stable without any residual problems. The pathology report of the
cavity was consistent with chronic inflammation and fibrotic tissue without any
evidence of thyroid tissue.

Figure 1. Bilateral mildly rim enhanced abscesses on axial CT (Yellow
arrows).

Figure 2. Bilateral abscess cavities seen on coronal CT (Yellow arrows).

Figure 3. Eight free silk sutures were removed from the cavities.

Figure 4. After drainage of the granuloma tissues and copious irrigation the
wound was closed primarily.
Discussion
Thyroid
surgery has been historically an adventure for surgeons until 1900 due to high
rates of bleeding (6). By the surgical tools and techniques development and
hence better vascular bleeding control achievement, nowadays thyroidectomy is
the most common endocrine surgery (7,8). Because compression hematoma is the
most common post-operative complication, all surgeons do their best to achieve
effective bleeding control. Other major and still fearful complications are
recurrent laryngeal nerve injuries and hypoparathyroidism with an incidence
rate of up to 14% (9). On the other hand, minor complications including
infection and granulomatous lesions have an incidence rate of less than 2%.
Post-thyroidectomy suture reaction causing granulomatous lesions or abscess
formation as seen in our case is even rarer with an incidence rate of 0.08% to
1.5% (10,11).
Many
surgeons prefer the conventional surgical suture ligation for hemostasis
achievement. All sutures are foreign bodies for our body causing tissue
reactions until the sutures are completely absorbed in case of absorbable
sutures or covered by fibrous capsule formation with the use of non-absorbable
sutures (12,13).
In
previous years, silk has been the most common non-absorbable suture material
used in vascular ligation which is derived from protein fibers produced by
silkworms. The silk suture is gradually degraded in the tissue over 2 years
(2).
Talking
about the physiopathology of the suture granuloma is confined to the poor
literature about the topic but because of the significant correlation found in
some studies between suture granuloma formation and some factors including age,
liver function and history of allergy, it is assumed that the phenomenon is not
only an infectious response but the combination of immunological response to
sutures and infection (14). Younger patients make a stronger allergic reaction
than older persons and in case of decreased detoxification capability of liver
and a positive history of allergy the occurrence of suture granuloma is more
likely to happen. This implies that young adults, liver dysfunction and allergy
history are predisposing factors for suture granuloma, emphasizing the
immunological response to suture as the main pathogenesis for suture granuloma
formation (15,16).
Most of
suture granulomas occurred from 2 months to one year after surgery and a
delayed inflammatory reaction of the suture is rare (17).
Generally,
the clinical presentation is very diverse and may vary from a classic
inflammatory reaction with erythema, swelling, pain and final rejection of the
suture material to chronic inflammatory reaction associated with granuloma
formation presenting as a solid painless mass (2).
While in
some studies primary treatment approach is based on close follow up and
resolution of suture granuloma due to gradual spontaneous removal of suture
material from the fistula tract or minor surgical intervention under local anesthesia
on the other hand some authors advise surgical exploration under general
anesthesia, especially in case of deep extensive reaction or failure to
differentiate from tumor recurrence (as in our patient) or in the presence of
high suspicion for a foreign body (6).
Conclusion
Vessel
sealing systems (sutureless hemostasis) and classical suture ligation may be
used in thyroidectomy dissection as done in many other surgical procedures.
Development of suture reaction (suture granuloma or stitch abscess) should be
considered when vascular ligation is preferred especially by silk material and
in patients with predisposing factors including young persons, liver
dysfunction and previous history of allergy. In such a condition depending on
the patient situation both conservative and surgical approaches should be kept
in mind with surgical exploration under general anesthesia in case of deep
large abscess and tumor recurrence high index of suspicion.
Author
contributions
EA Scientific writing of the manuscript. AB Review and
editing, correspondence author.
Conflict of interest
The authors declare that they have no conflicts of interest.
References
1. Chung YE, Kim
EK, Kim MJ, Yun M, Hong SW. Suture granuloma mimicking recurrent thyroid
carcinoma on ultrasonography. Yonsei Med J 2006; 47(5):748-51.
2. Javalgi AP,
Arakeri SU. Post thyroidectomy suture granuloma: a cytological diagnosis. J
Clin Diagnostic Res 2013; 7(4):715-7.
3. Langer JE,
Luster E, Horii SC, Mandel SJ, Baloch ZW, Coleman BG. Chronic granulomatous
lesions after thyroidectomy: imaging findings. AJR Am J Roentgenol 2005;
185(5):1350-4.
4. Togo S, Kubota
T, Takahashi T, Yoshida K, Matsuo K, Morioka D, et al. Usefulness of absorbable
sutures in preventing surgical site infection in hepatectomy. J Gastrointest
Surg 2008; 12(6):1041-6.
5. Meshkini A,
Salehpour F, Rezakhah A, Mirzaei F, Kazemzadeh M, Naseri Alavi SA. Textiloma: A
Case of Foreign Body Mimicking a Spinal Tumor. Spine. 2017; 42(21):E1272-E4.
6. Kanat BH,
Bozan MB, Emir S, Yazar FM, Erol F, Alatas O, et al. A complication of
thyroidectomy: Do not forget suture reaction. Turk J Surg 2017; 33(2):58-61.
7. Simsek Celik
A, Erdem H, Guzey D, Celebi F, Celik A, Birol S, et al. The factors related
with postoperative complications in benign nodular thyroid surgery. Indian J
Surg 2011; 73(1):32-6.
8. Huang CF, Jeng
Y, Chen KD, Yu JK, Shih CM, Huang SM, et al. The preoperative evaluation
prevents the postoperative complications of thyroidectomy. Ann Med Surg 2015;
4(1):5-10.
9. Lombardi
CP, Raffaelli M, De Crea C, Tranini E, Oraganao L, Sollazzi L et al.
Complications in thyroid surgery. Minerva Chir 2007; 62; 395-408.
10. Jin S, Bao W, Borkhuu O, Yang YT. Clinical
Study on the Etiology of Postthyroidectomy Skin Sinus Formation. Surg Res Pract
2017; 2017:5283792.
11. Okumus A, Bilgin-Karabulut A. A large sinus on
the neck: a rare complication after thyroidectomy. Plast Reconstr Surg 2003;
112(1):332-3.
12. Yaltirik M, Dedeoglu K, Bilgic B, Koray M,
Ersev H, Issever H, et al. Comparison of four different suture materials in
soft tissues of rats. Oral Dis 2003; 9(6):284-6.
13. Mallon WJ, Seaber AV, Urbaniak JR. A
comparison of absorbable and nonabsorbable sutures to vascular response in
immature arteries. J Reconstr Microsurg 1986; 2(2):87-92.
14. Javed F, Al-Askar M, Almas K, Romanos GE,
Al-Hezaimi K. Tissue reactions to various suture materials used in oral
surgical interventions. ISRN Dent 2012; 2012:762095.
15. Gupta R, Sheikh A, Strachan DP, Anderson HR.
Burden of allergic disease in the UK: secondary analyses of national databases.
Clin Exp Allergy 2004; 34(4):520-6.
16. Bosilkovska M, Walder B, Besson M, Daali Y,
Desmeules J. Analgesics in patients with hepatic impairment: pharmacology and
clinical implications. Drugs 2012; 72(12):1645-69.
17. Yamamoto N, Yamashita Y, Tanaka T, Ishikawa A,
Kito S, Wakasugi-Sato N, et al. Diagnostic significance of characteristic
findings on ultrasonography for the stitch abscess after surgery in patients
with oral squamous cell carcinoma. Oral Oncol 2011; 47(3):163-9.