A case of mucous
gland adenoma of lung: a benign mimicker of malignancy
Veeksha Venugopal Gowda 1, Divya Vijayanarasimha 1,
Rekha Vijay Kumar 1, Sanjeev Kulkarni 2
1 Department of Oncopathology, Sri Shankara Cancer Hospital and
Research Centre, Bangalore, Karnataka, India
2 Department of Surgical Oncology, Sri
Shankara Cancer Hospital and Research Centre, Bangalore, Karnataka, India
Corresponding Authors: Veeksha Venugopal
Gowda
* Email: veekshavenugopal @gmail.com
Abstract
Introduction: Mucous gland adenoma of the lung (MGA) is an uncommon
benign tumor. MGA of lung is extremely rare with less than 70 cases documented
in the literature to the best of our knowledge. At present, according to the
World Health Organization's classification of thoracic tumors, MGA is
categorized as epithelial tumor and subclassified under adenomas. This is
characterized by endobronchial growth of mucous cells with no atypia. We report
a case of MGA of lung which was clinico-radiologically suspected to be a malignant
tumor and discuss the diagnostic approach, differential diagnosis, treatment
and need for close follow-up, with a thorough review of the literature.
Case presentation: A 57-year-old lady presented with pain in the left chest wall and arm
for a duration of 3 months. After clinical examination, an x-ray showed
collapse, and consolidation on ipsilateral lung. The subsequent CT scan of the
thorax showed an 14 x 12 x 11 mm lesion in the proximal left main bronchus.
Clinico-radiologically, carcinoma of lung was suspected. The patient underwent
endoscopy and the endobronchial biopsy from the lesion showed features of a
papillary glandular neoplasm. There was no immunostaining of the lesional cells
for TTF1, synaptophysin, chromogranin, and p40, with a low Ki67 index of
<5%. Although the possibility of malignancy was deemed unlikely, resection
was suggested for confirmation. The patient then underwent pneumonectomy on
which a histological diagnosis of mucous gland adenoma was made. The patient is
well and on follow-up for 12 months.
Discussion: Due to its rarity and clinical presentation mimicking malignancy, MCA
presents challenges in diagnosis. Malignant entities like invasive mucinous
adenocarcinoma, low-grade mucoepidermoid carcinoma, and endobronchial
metastasis from extraneous sites need to be considered in the differential
diagnosis.
Conclusion: Mucous gland adenoma of lung is a rare tumour; this case report
highlights the challenges faced while reporting small biopsy samples of lung
and the need to be aware of the benign mimickers of malignancy. For the
accurate diagnosis of this rare entity, a multimodality approach that includes
histological examination, immunohistochemical analysis and radiological
findings is key.
Keywords: Mucous gland adenoma, Lung, Endobronchial biopsy
Introduction
Mucous gland adenoma of the lung is an uncommon benign
tumor (1) first reported in 1882 by Muller. The majority of these cases arise
within the main, lobar, or segmental bronchi.
Patients typically present with symptoms of obstruction,
cough, haemoptysis, dyspnoea, and recurrent pneumonia. Mucous gland adenoma is extremely rare. It
has no sex predilection and has a wide age range (25–67years). The exact
etiology and pathogenesis are unknown. The differentials include invasive
mucinous adenocarcinoma, low-grade mucoepidermoid carcinoma, endobronchial
glandular bronchial papilloma, bronchiolar adenoma and other adenomas (2). The
purpose of this report is to spread awareness regarding this rare entity,
highlight the diagnostic challenges on small biopsy samples and differentiation
from its histological mimics.
CASE STUDY
A 57-year-old lady presented with pain in
the left chest wall and arm since 3months; the pain was intermittent. There
were no symptoms of fever, weight loss or dyspnoea. She underwent CECT scan of
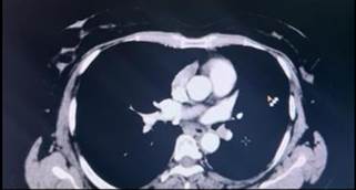
the thorax which showed a 14x12x11mm lesion in the distal main bronchus (Figure
1).

Figure 1. CECT thorax showing a well-defined enhancing lesion near the
left perihilar region.
Carcinoma was suspected
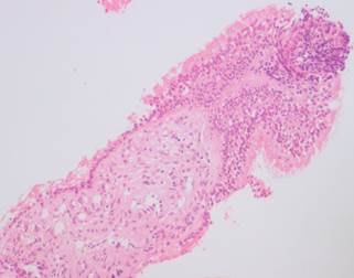
clinico-radiologically. Endobronchial biopsy from the lesion showed features of
a papillary glandular neoplasm, with the epithelial cells showing minimal
atypia (Figure 2a and 2b).
a

b

Figure 2. a. H&E stain, 10x. shows normal bronchial epithelial lining, b.
H& E stain,20x Papillary glandular neoplasm, the atypical cells are
arranged in papillary architecture lined by cuboidal to columnar cells with minimal
atypia, Inset shows higher power of the neoplasm (H&E at x40).
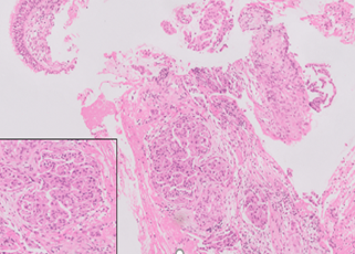
The neoplastic cells showed no
immunostaining for TTF1(Fig 3a), synaptophysin, chromogranin, and showed a Ki
67 proliferation index of <5%. P40 stained the continuous basal cell layer
of bronchial epithelium, however no staining in the neoplastic cells. An
additional immunohistochemical (IHC) marker NKX3.1 showed weak to moderate
nuclear staining in occasional neoplastic cells (Figure 3b).
a

b

Figure 3. a. IHC stain for TTF1, x20 No staining of the neoplastic cells
for TTF1; Inset shows Ki67 <5% (IHC at 20X); b. IHC stain for NKX3.1,
40X, weak to moderate nuclear staining of few cells, inset shows focal strong
staining of occasional cells.
Although the possibility of malignancy was
unlikely, resection was suggested for confirmation in view of the limited
tissue examined. The patient then underwent pneumonectomy. Intraoperatively,
the surgeons noticed a grey-white tumour in the bronchus (Figure 4), not involving the lung parenchyma.

Figure 4. Intraoperative image shows grey-white tumour in the bronchus.
Histopathological examination of the
specimen showed a grey-white papillary tumor in the bronchus that measured
1.5x1.1x1.3cm which did not involve the lung parenchyma. Histologically, a
circumscribed neoplasm was identified in the bronchial wall, composed of
papillae and numerous cystically dilated mucous–filled glandular structures
lined by flattened cuboidal epithelium with oncocytic change and none to
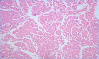
minimal atypia. Mitoses were rare. (Figure 5 a,b,c).
a b


c

Figure 5. a and b H&E stain 40x and 10x respectively shows
papillary architecture lined by cuboidal to columnar cells with moderate
amounts of cytoplasm and none to minimal
atypia; c. H&E at 40x Cystically dilated mucous–filled glandular
structures lined by bland flattened cuboidal epithelial cells.
Hence, a final diagnosis of mucous gland
adenoma was made. The patient is on follow-up for 12 months postoperatively,
remains asymptomatic. Clinically and radiographically disease-free
Discussion
Mucous gland adenoma was considered a salivary-type of
tumor and presumed to arise from the submucosal sero-mucous glands of the
bronchus. Fewer than 70 cases have been documented in the literature to the
best of our knowledge (1,3,4).
Our patient presented with left chest wall and arm
pain which is an unusual finding; the common clinical manifestations of this
tumor include hemoptysis, cough, dyspnoea and wheezing, often complicated with
pneumonia (5,6,7,8).
These tumors can also present as chronic obstructive
pulmonary disease as they obstruct the airway lumen (9). Therefore, it usually
takes longer to come to the correct diagnosis. One case report highlights that this entity can
be misdiagnosed as tuberculosis for up
to 2 years (10). The lesion was located peripherally in our patient, which may
explain why she had no obvious symptoms.
The majority of the tumors present as intraluminal
exophytic masses in the proximal airways. Our case showed an endobronchial mass
with no parenchymal involvement, unlike the cases reported by Zhang XT et al.
and M. A. Weinberger et al. which showed parenchymal involvement (4,6).
The diagnosis of papillary glandular neoplasm on a
small biopsy sample is considered appropriate because adenocarcinoma cannot be
conclusively excluded without thorough sampling.
Macroscopically, mucus gland adenoma appears as a
grey-white smooth mass, with a solid-cystic cut surface, with cystic change
often being the predominant feature (4). Our case differed in being
predominantly solid on cut surface.
Our histology findings were in accordance with those
described in the reports by Zhang XT, England et al, and Sasaki E et al;
showing a well-circumscribed lesion with proliferation of mucosal glands in the
form of an exophytic nodule composed mainly of variably dilated, cystic glands
filled with mucus. Tubules and papillae were present focally. The lining cells
were mucous-secreting columnar, cuboidal or flattened cells with stratification
or papillary luminal folds. The stroma was composed of hyaline connective
tissue. There was no invasion of the cartilage or bronchial wall. The unusual
histological finding in our case was the presence of papillary architecture
which is rare or absent in other case reports.
Zhang et al. noted that several normal dilated bronchi can be
distributed among neoplastic glands. This characteristic finding may be helpful
in differential diagnosis (4,5). However, this was not a finding in our case.
The immunohistochemical findings in our case were in
concordance with the findings of Badyal RK et al (1) whose case showed positivity for CK, CK7, 34βE12 and
EMA; focal positivity for CEA and consistent negativity for TTF-1, SPA, Napsin
A, ALK (D5F3), CDX2, CK20, p53, vimentin and synaptophysin; p63 and S100
staining highlighted the myoepithelial cells scattered at the periphery of the glands. In our case,
the epithelial cells were TTF1, p40 synaptophysin and chromogranin negative.
The Ki-67 index was less than 5%. NKX3.1 positivity was seen in two cases of
MGA in the study by Sasaki et al and it was concluded that NKX3.1
immunohistochemistry could be sensitive and specific ancillary marker that
distinguish MGA from other histologic mimics (5). However, it is likely that
staining patterns in more tumours is required to know its specificity for MGA.
The lack of significant atypia, mitotic activity and
parenchymal infiltration helped in differentiating this neoplasm from the
relatively more common diagnosis of invasive mucinous adenocarcinoma. Lack of
intermediate and epidermoid cells excluded the diagnosis of low-grade
mucoepidermoid carcinoma. Endobronchial glandular bronchial papilloma,
bronchiolar adenoma and other adenomas are close differential diagnoses, but
their cellular composition and location are different from mucous gland
adenoma. The rare possibility of an endobronchial metastasis should be excluded
by correlating with the clinical history, histomorphology and
immunohistochemistry (2).
Surgical airway resection, sparing lung parenchyma, is
the treatment of choice for centrally located adenomas. Lobectomy is preferred
in patients with bronchial obstruction or parenchymal involvement. If the
patient has comorbidities like chronic
obstructive pulmonary disease and the tumor is polypoid and attached to the
bronchial wall, bronchoscopic resection is the surgery of choice. In our case,
pneumonectomy was performed in view of the broad stalk of the mass in the main
bronchus and diagnostic ambiguity (8,11).Since mucous gland adenomas are benign
tumours, they are cured by resection (2).
Most of the patient do well without recurrences;
however, due to its rarity a longer follow up may be advisable. Our patient is
at 12 months of follow up and is recurrence-free.
Conclusion
This case report highlights the challenges faced while
reporting small biopsy samples of rare lung neoplasms and the need for
heightened awareness of the various benign histological mimics of
adenocarcinoma.
Competing interests
The
authors declare that they have no competing interests.
Acknowledgments
We sincerely thank the technical staff, our pathology
and clinical collegues.
Consent
Consent
of the patient is taken.
Authors contributions
VG collection of case details , image
capturing, data acquisition, review of literature, article writing and corresponding author, DV
collection of case details, article
writing, revision of article, RVK revision and improvement of the
article, SK procuring operative, radiological images and revision
of the article. All the authors
contributed to the article and approved the submitted version.
References
1.Badyal RK, Kakkar N, Vasishta
RK, Mahajan S. Bronchial mucous gland adenoma presenting as massive hemoptysis:
A diagnostic dilemma. Lung India. 2014; 31(3):274.
2. Travis WD, Brambilla E,
Muller-Hermelink HK, Harris CC, editors. Tumours of lung, mucous gland adenoma.
In: WHO Classification of Tumours Editorial Board. Thoracic tumours [Internet].
Lyon (France): International Agency for Research on Cancer; 2021 [2024/02/06].
(WHO classification of tumours series, 5th ed.; vol. 5). Available
from: https://tumourclassification.iarc.who.int/chapters/35.
3. Kwon JE, Kim GY, Han JH, Kim
TS, Kim K. Mucous gland adenoma presenting as a peripheral lung mass. Korean j.
pathol. 2004;38:126-8.
4.Zhang XT, Yang M, Liu XF, Lin
XY. Peripheral mucous gland adenoma of the lung with parenchymal involvement
and smooth muscle in the stroma: A rare case report and literature review.
Medicine(Baltimore)2018 Jan 1;97(3):e9597.
5.Sasaki E. Masago K. Fujita S.
et al. AKT1 mutations in peripheral bronchiolar papilloma: glandular papilloma
and mixed squamous cell and glandular papilloma is distinct from bronchiolar
adenoma. Am J Surg Pathol. 2021; 45: 119-126
6.M. A. Weinberger, S. Katz, and
E. W. Davis. “Peripheral bronchial adenoma of mucous gland type; clinical and
pathologic aspects” J. Thorac. Cardiovasc. Surg. 1955;
vol. 29, pp: 626–635.
7. England DM, Hochholzer L.
Truly benign "bronchial adenoma": report of 10 cases of mucous gland
adenoma with immunohistochemical and ultrastructural findings. Am J Pathol.
1995;19(8):887–899.
8. H. A. Gaissert and E. J. Mark,
“Tracheobronchial gland tumors,” Cancer Control, 2006; vol. 13, no. 4:
286–294,
9. Milenkovic B, Stojsic J,
Mandaric D, et al. Mucous gland adenoma simulating bronchial asthma: case
report and literature review. J Asthma. 2007;44:789-793.
10. Ulusan A, Bayramoglu Z, Sanli
M, et al. A rare case of peripherally located non-bronchial pulmonary mucous
gland adenoma. Turk Gogus Kalp Damar Cerrahisi Derg. 2018;26:664-667
11. Takeda S, Hashimoto T,
Kusu T, Kawamura T, Nojiri T, Funakoshi Y, et al. Management and surgical
resection for tracheobronchial tumours institutional experience with 12
patients. Interact Cardiovasc Thorac Surg. 2007;6:484–9.